
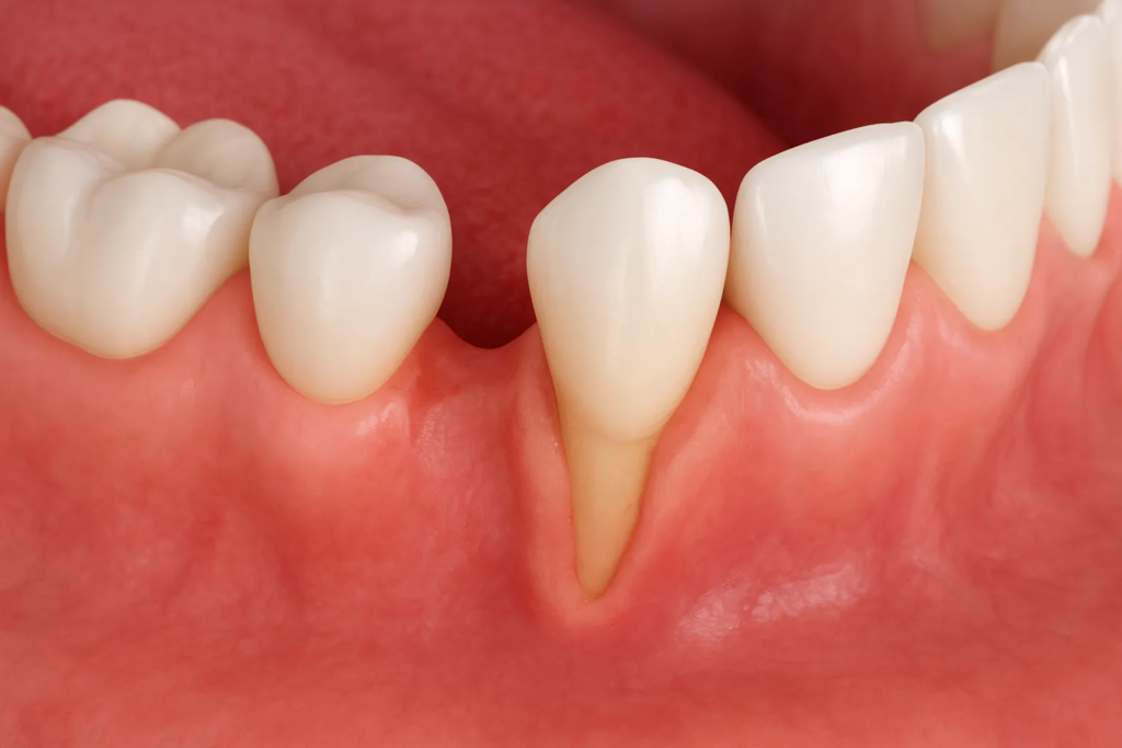
Diş eti çekilmesi, yalnızca estetik açıdan değil, aynı zamanda ağız sağlığı açısından da önemli bir problemdir. Diş köklerinin açığa çıkmasına neden olan bu durum, zamanla diş hassasiyetini artırabilir ve ileri seviyelerde diş kaybına yol açabilir. Erken dönemde alınacak önlemlerle diş eti çekilmesinin ilerlemesi durdurulabilir ya da yavaşlatılabilir.
Diş Eti Çekilmesinin Nedenleri
Diş eti çekilmesinin en yaygın nedenleri arasında yetersiz ağız hijyeni, hatalı fırçalama teknikleri ve diş taşı birikimi yer alır. Bunun yanı sıra bazı sistemik hastalıklar, hormonal değişiklikler ve genetik faktörler de diş eti sağlığını olumsuz etkileyebilir. Özellikle sert kıllı fırçalarla dişleri çok baskılı fırçalamak, diş etlerine zarar vererek çekilme sürecini hızlandırır.
Diş Eti Çekilmesini Önlemek İçin Öneriler
Diş eti çekilmesi tamamen önlenemese de, doğru bakım alışkanlıkları ile risk önemli ölçüde azaltılabilir. Günlük ağız bakımına dikkat etmek, bu sürecin kontrol altına alınmasında kritik bir rol oynar.
- Günde iki kez yumuşak fırçayla fırçalama: Sert fırçalardan kaçınılmalı ve dairesel hareketlerle nazik temizlik yapılmalıdır.
- Diş taşı temizliği: Düzenli aralıklarla diş hekimi kontrolünde diş taşı temizliği yaptırmak, diş eti sağlığını korur.
- Yanlış teknikten kaçınma: Aşırı baskılı ya da yatay hareketlerle yapılan fırçalama, diş etlerine zarar verebilir.
- Diş ipi ve arayüz fırçası kullanımı: Fırçanın ulaşamadığı bölgelerde plak birikimini engeller.
- Sigara ve stres faktörlerinden uzak durma: Sigara, diş eti sağlığını olumsuz etkilerken stres de diş sıkma gibi alışkanlıklarla çekilmeyi hızlandırabilir.
İlerlemiş Durumlarda Tedavi Yöntemleri
Diş eti çekilmesi ileri seviyelere ulaştığında, yalnızca günlük bakım yeterli olmayabilir. Bu durumda çeşitli cerrahi tedavi yöntemleri uygulanabilir:
- Doku grefti uygulamaları: Ağız içinden alınan dokular, çekilmiş bölgeye eklenerek diş kökünün yeniden örtülmesi sağlanabilir.
- Rejeneratif tedaviler: Kök yüzeyinde kaybedilen dokunun yeniden oluşumunu destekleyen yöntemler uygulanabilir.
- Flap cerrahisi: Diş eti dokusu yeniden konumlandırılarak kök yüzeyleri kapatılabilir.
Sonuç
Diş eti çekilmesi, erken dönemde fark edildiğinde kontrol altına alınabilen bir sorundur. Düzenli ağız bakımına özen göstermek, yanlış fırçalama alışkanlıklarından kaçınmak ve diş hekimi kontrollerini aksatmamak, bu sorunun ilerlemesini önlemede en etkili yollardır. İlerlemiş vakalarda ise cerrahi yöntemler, diş köklerini korumak ve sağlıklı bir diş eti yapısını yeniden oluşturmak için uygulanabilir.
Instagram sayfamız için tıklayınız.
📞 Randevu ve Bilgi İçin: +90 352 336 13 13 İletişim sayfamız için tıklayınız.
📍 Adres: Gevhernesibe, Gür Sk. Ofisimkayseri İş Merkezi B Blok Kat:5 No:10/29, 38010 Kocasinan/Kayseri
