
Diş estetiği ve restorasyonunda en çok kullanılan yöntemlerden ikisi porselen kaplama ve zirkonyum kaplamadır. Her iki uygulama da farklı avantajlara sahiptir. Ancak “Hangisi daha iyi?” sorusunun yanıtı, hastanın ihtiyaçları, estetik beklentileri ve ağız yapısına göre değişiklik gösterir.
Porselen Kaplama Nedir?
Porselen kaplamalar genellikle metal bir altyapı üzerine seramik tabakanın uygulanmasıyla hazırlanır. Yıllardır kullanılan bu yöntem, özellikle estetik beklentinin yüksek olduğu ön bölge dişlerde tercih edilebilmektedir.
- Uygun maliyet: Diğer seçeneklere göre daha ekonomik olabilir.
- Estetik görünüm: Diş rengine yakın bir sonuç sağlar.
- Klasik yöntem: Uzun yıllardır uygulanan ve yaygın olarak bilinen bir tekniktir.
Bununla birlikte, porselen kaplamaların metal altyapısı zamanla diş eti çizgisinde koyulaşmaya neden olabilir. Bu durum estetik açıdan bazı kişiler için dezavantaj oluşturabilir.
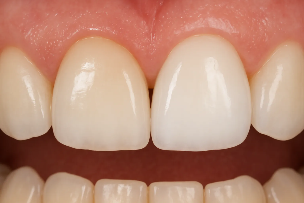
Zirkonyum Kaplama Nedir?
Zirkonyum, son yıllarda diş hekimliğinde öne çıkan modern bir materyaldir. Hem dayanıklılığı hem de ışık geçirgenliği sayesinde doğal diş görünümüne çok yakındır. Ayrıca metal içermez ve biyouyumlu bir yapıya sahiptir.
- Doğal görünüm: Işık geçirgenliği sayesinde estetik açıdan daha başarılı sonuçlar sunar.
- Biyouyumlu yapı: Alerji riskini azaltır, diş eti uyumu yüksektir.
- Geniş kullanım alanı: Hem ön hem de arka dişlerde uygulanabilir.
Zirkonyum kaplamaların maliyeti, porselen kaplamalara göre daha yüksek olabilir. Ancak uzun ömürlü olması ve estetik açıdan avantajlı sonuçlar sunması nedeniyle tercih edilen bir seçenektir.
Sonuç
Porselen ve zirkonyum kaplamalar arasında seçim yaparken tek bir doğru yoktur. Hangi materyalin daha uygun olacağı, kişinin ağız yapısı, estetik beklentileri ve diş sağlığı dikkate alınarak belirlenir. Her iki yöntemin de avantajları ve sınırlılıkları bulunduğundan, doğru karar kişiye özel planlama ile verilebilir.
💬 Dentermis Tavsiyesi:
Tedavi seçiminde en önemli kriterler: dişin bulunduğu bölge, estetik beklenti, ısırma kuvveti ve kişisel ağız yapısıdır.
📌 Muayene sonrası yapılacak değerlendirme, sizin için en doğru kaplama türünü belirleyecektir.
Tedavi yöntemlerimizi okumak için tıklayınız.
Instagram sayfamız için tıklayınız.
📞 Randevu ve Bilgi İçin: +90 352 336 13 13 İletişim sayfamız için tıklayınız.
📍 Adres: Gevhernesibe, Gür Sk. Ofisimkayseri İş Merkezi B Blok Kat:5 No:10/29, 38010 Kocasinan/Kayseri
